
本文作者:湛江中心人民医院主治医师 许志成
你有没有过这样的经历:
晚上脱袜子时,
发现脚踝上有一圈深深的印子,
或者双脚肿得像发糕一样?
按一下,皮肤老半天都弹不回来。
许多人可能会认为
这只是走路太多、疲劳
或者饮水过量导致的,
休息一下就会好。
但其实,
双脚的肿胀有时可能是
心脏或肺部发出的“求救信号”!
我们今天就来认真聊聊,
水肿到底是怎么回事,
又该怎么应对。
水肿,不仅仅是水喝多了
在医学上,水肿是指组织间隙液体过多积聚的现象。当双脚(尤其是脚踝)出现对称性、凹陷性水肿时,我们需要引起重视。水肿可以分为生理性和病理性两类。
生理性水肿
生理性水肿多与生活方式有关,例如长时间站立、怀孕、高盐饮食或月经周期等。此类水肿往往在调整生活方式后能够得到缓解,比如适当休息和改变饮食习惯。
病理性水肿
病理性水肿则是疾病的征兆,其中心源性与肺源性水肿尤其需要早期识别。了解这些病理性水肿的特征,有助于我们及时就医治疗。
双下肢凹陷性水肿
心肺“没力气”了,为什么会导致脚肿?
心脏就像一个水泵,负责将血液泵送到全身。当心脏功能减退,发生心力衰竭时,泵血的效率就降低,导致血液在体内淤积。
在右心衰竭的情况下,心脏无法有效回收全身的血液,血液会淤积在下肢等低垂部位,导致静脉的压力增高,液体从血管渗入组织间隙,就会形成水肿。典型特征包括双足、脚踝和小腿水肿,常常是对称出现的。此外,患者可能还会有呼吸困难(特别是平躺时)、乏力、腹胀和食欲减退等症状。
那么,肺病为何也会连累双脚呢?严重的肺部疾病,尤其是慢性阻塞性肺疾病、晚期肺纤维化以及肺动脉高压,可能导致肺源性心脏病(也称为“肺心病”)。
这时候由于肺部血管阻力增加,右心室需要更努力地泵血,长期超负荷工作,最终会导致右心衰竭,从而引发下肢水肿。这个过程往往伴随着长期咳嗽、气喘及呼吸困难等症状,甚至患者的嘴唇、甲床会出现发紫(紫绀)的现象。
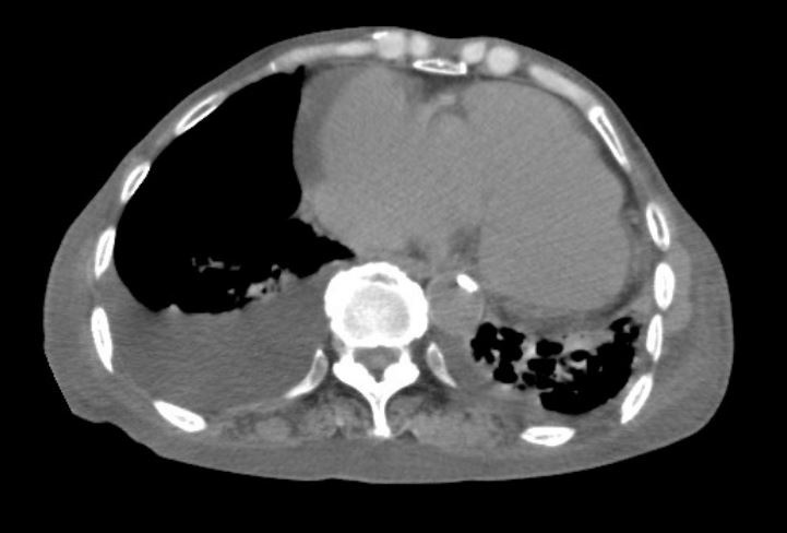
心影增大和胸腔积液
除了心脏和肺部问题,双脚肿胀还可能提示以下健康问题:
1. 肾脏疾病:肾脏功能不全可能导致蛋白质随尿流失,从而引起液体潴留。
2. 肝脏疾病:如肝硬化,身体合成蛋白质能力下降,会伴随肚子胀(有腹水)和下肢水肿。
3. 静脉问题:如深静脉血栓或静脉曲张,这种情况下水肿多为不对称,并可能伴随疼痛或发热。
4. 药物影响:某些降压药(名称含“地平、沙坦”的药物)和激素类药物可能引起水肿。
5. 淋巴系统问题:淋巴管回流受阻会导致水肿,类似“象皮肿”的表现。
何时该就医?看这些“危险信号”
如果你发现脚肿伴随以下任何情况,请及时就医:
▶ 呼吸困难、胸闷或胸痛;
▶ 水肿突然加重或迅速蔓延;
▶ 单侧肢体肿胀伴疼痛(警惕血栓);
▶ 尿量明显减少;
▶ 体重在短期内快速增加;
▶ 伴有皮肤变黄、腹水或严重乏力。
当你就医时,医生通过问诊和体格检查后,可能安排以下检查来寻找病因:
▶ 血液检查:检查心衰标志物(如BNP)、肝肾功能以及电解质水平。
▶ 尿液检查:查看是否有尿蛋白漏出。
▶ 超声检查:心脏彩超评估心功能,以及下肢静脉彩超排查血栓。
▶ 胸部X光或CT:评估心肺影像变化。
▶ 心电图:检查心脏的电活动。
已获授权图,转载勿使用
预防与日常管理
如果你容易水肿,或是想预防,可以试试这些方法:
低盐饮食: 每日食盐摄入量建议低于5克,避免摄入过多加工食品。
适度活动: 避免长时间站立或久坐,适时活动下肢,促进血液循环。
抬高下肢: 休息时将双脚垫高于心脏水平,助力血液回流。
穿着合适: 避免穿着过紧的袜子或裤子,可以考虑在医生指导下使用医用弹力袜。
已获授权图,转载勿使用
监测体重: 每天固定时间称重,留意短期内的体重增加。
遵医嘱用药: 切勿自行服用利尿剂,需在明确病因后进行规范治疗。
双脚肿胀看似是小事,
但可能是身体健康的“窗口”。
尤其是肿得明显、不容易消,
甚至还有心慌气短的时候,
一定别大意。
我们的身体不会无缘无故出状况,
当你发现双脚像“发糕”一样肿起来,
多给它一点关注,
及时就医,查明原因,
才是对自己最好的保护。
好好爱护身体,
从看懂这些小信号开始东莞股票配资平台官网。
粤有钱提示:文章来自网络,不代表本站观点。